Are Missing Teeth Destroying Your Confidence?

Get the Permanent Solution That Looks, Feels & Functions Like Your Natural Teeth

Roperb Dental Clinic

The Hidden Cost of Missing Teeth

If you’re living with missing teeth, you already know the daily struggle. But do you realize how much it’s actually costing you?

Every Day You Wait, These Problems Get Worse:

Social Embarrassment & Lost Confidence

Covering your mouth when you laugh, avoiding photos, turning down speaking opportunities, feeling self-conscious in professional meetings

Dietary Restrictions & Nutritional Problems

Unable to eat your favorite foods, struggling with tough meats, avoiding social dining, leading to poor nutrition and health issues

Speech Difficulties & Communication Issues

Whistling sounds, unclear pronunciation, avoiding important conversations, losing credibility in professional settings

Progressive Bone Loss & Facial Changes

Jawbone shrinking without tooth roots, face sagging and looking older, remaining teeth shifting and becoming crooked

Career & Financial Impact

Missed promotions due to appearance concerns, avoiding networking events, reduced earning potential, increasing dental costs over time

Here's the Brutal Truth About "Quick Fix" Solutions

You’ve probably already tried some of these “solutions” and discovered they create MORE problems than they solve:

Removable Partial Dentures

Bulky, uncomfortable, obvious to others, fall out during conversations, make eating a nightmare

Dental Bridges

Require grinding down healthy teeth, don't prevent bone loss, need replacement every 10-15 years, food traps underneath

Temporary "Flipper" Appliances

Must be removed for eating, break easily, look obviously fake, affect speech significantly

Doing Nothing & "Living With It"

Bone continues deteriorating, remaining teeth shift, face ages prematurely, problems compound over time

The Real Cost of Waiting

Every month you delay, your jawbone loses more density. What could be a simple implant procedure today might require expensive bone grafting tomorrow. The longer you wait, the more complex and costly your treatment becomes.

But what if there was a permanent solution that actually worked?

The Gold Standard Solution: Dental Implants

Dental implants are the only tooth replacement option that addresses EVERY problem you’re facing – permanently.

100% Natural Look & Feel

Custom-matched to your exact tooth colour, shape, and size. Even your dentist won't be able to tell the difference.

Permanent Fusion

Titanium root fuses with your jawbone, creating a foundation stronger than your original tooth. No falling out, ever.

Eat Anything You Want

Corn on the cob, steak, nuts, apples – no dietary restrictions. Full chewing power restored.

Perfect Speech

Speak clearly and confidently. No whistling, slurring, or pronunciation issues.

Prevents Bone Loss

The implant root stimulates your jawbone just like a natural tooth, preserving your facial structure.

Lifetime Durability

With proper care, implants can last 20+ years or even a lifetime. The most cost-effective long-term solution.

Why Implants Are Superior to Every Other Option

0 % +

Success Rate

Highest success rate of any dental procedure

0 +

Daily Maintenance

Just brush and floss like normal teeth

0 +

Years Lifespan

Often last a lifetime with proper care

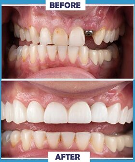
Real Patients, Real Transformations

I lost three teeth in a sports accident. Dentures were a nightmare – I couldn’t eat properly or speak clearly in meetings. Dr. Aishah’s implants gave me back my business confidence. It’s been two years, and people still compliment my ‘perfect natural smile.

Tunde O.

Lagos Business Owner

At 52, I thought it was too late for implants. Dr. Aishah’s team proved me wrong. The bone grafting procedure was painless, and six months later, I have four beautiful implants. I’m eating corn on the cob again – something I hadn’t done in five years!

Mrs. Folake A.

Victoria Island

I was terrified of dental procedures, but Roperb’s sedation options made it completely comfortable. The best part? My implant looks so natural that my dentist back in London was amazed. Worth every naira.

David M.

Lekki Resident

Why Choose Roperb Dental Clinic

Not all dental implants are created equal. The success of your implant depends entirely on the skill of your surgeon and quality of materials used.

Nigeria's Leading Implant Specialists

0 +

Years serving Nigeria

0 +

Happy Patients

0 %

Implant success rate

Our Results

Smile Transformations

Roperb Dental Clinic

Limited Time Investment Opportunity

Transform your smile and reclaim your confidence with Nigeria’s most advanced dental implant treatment.

Regular Price:

₦1,500,000

Special Offer:

₦1,100,000

Single Implant
Multiple Implant Special

₦1,000,000

Per implant for multiple teeth restoration
Save up to ₦500,000 per tooth!

What’s Included

Only 15 consultation slots available this month 

Every day you delay, bone loss continues and your treatment becomes more complex and expensive.

Frequently Asked Questions (FAQ)

How long do implants last?

Implants can last 20+ years or even a lifetime with proper care.

No. It’s performed under local anesthesia. Most patients resume normal activities within a day.

The entire process usually takes about 3–4 months, depending on individual healing time. However, temporary replacement options can be provided during the healing period

We offer advanced procedures like bone grafting to make you eligible for implants.

Definitely. They’re the closest thing to natural teeth, built to last a lifetime, and help you eat, speak, and smile confidently, making them one of the smartest investments in your overall wellbeing.