Veneers Are Not Whitening. They're Reinvention.

Transform your confidence, presence, and life with a Hollywood smile that commands respect, attracts opportunity, and radiates undeniable success.

Your Current Smile Is Holding you Back from Your Full Potential

You’ve built a life many aspire to — success in business, refined taste, and a confident presence. But deep down, you know something doesn’t quite match the image you’ve worked so hard to create.

Every time you smile, you hesitate — aware that your teeth don’t reflect the confident, accomplished person you truly are. While others project ease and charisma with flawless, camera-ready smiles, you’re still dealing with:

The brutal truth?

In elite environments — from Victoria Island boardrooms to Abuja’s high-society events — your smile speaks before you do.

And whether fair or not, a less-than-perfect smile silently signals less-than-complete success.

This is for you if:

  • You’ve tried whitening but want a permanent transformation
  • You want to fix color, shape, and alignment — not just brightness
  • You’re in the public eye or value making unforgettable first impressions
  • You’re ready to invest in a truly life-changing upgrade
  • You’re a celebrity, influencer, or high achiever who demands perfection

Every Day You Wait, The Problem Gets Worse.

What Your Imperfect Smile Is Really Costing You:

Executive Presence Sabotage

While competitors smile confidently in high-stakes meetings, you subconsciously hide yours. Opportunities favor those who project calm authority — not hesitation.

Social Circle Limitations

In Lagos’ most influential circles, image matters. A less-than-perfect smile subtly keeps you from the spaces where real deals are made and lasting relationships are built.

Personal Relationship Barriers

High-quality connections are built on attraction and confidence. A smile that feels “off” can silently block deeper bonds — both personally and professionally.

Aging Acceleration

Worn, chipped, or short teeth make you appear years older. While your peers look refreshed and youthful, your smile may be aging your entire face.

Photography Avoidance

You shy away from cameras, interviews, and media features — missing visibility and brand-building moments that others are seizing.

Here's the devastating reality

You’ve probably already tried everything:

Professional Whitening that doesn’t fix structural problems

Orthodontics Treatment that take years and still don’t address shape/size issues

Composite Veneers that chips or fades in 2-3 years

Partial fixes that solve one issue while leaving others behind

So, the real question isn’t “Can you afford veneers?” It’s “Can you afford another year of missed opportunities because your smile doesn’t match your success?”

Introducing the Ultimate Success Symbol: Premium Veneers

Forget what you know about cosmetic dentistry — this isn’t just a treatment. It’s a complete reinvention of how you’re seen… and how you see yourself.

The Complete Smile Reinvention Process:

Phase 1: Digital Smile Design

We use cutting-edge 3D technology to craft your perfect smile — customized to your face, personality, and goals. You’ll preview your new look before we begin.

Phase 2: Precision Preparation

Your teeth are gently prepared — preserving natural strength while ensuring a flawless fit.

Phase 3: Master Craftsmanship

Each veneer is individually sculpted by master ceramists from premium veneer materials — brighter, stronger, and more natural than enamel itself.

Phase 4: Perfect Installation

Dr. Aishah personally bonds every veneer, achieving impeccable symmetry, bite balance, and aesthetic harmony.

🦷 Scaling vs. Whitening vs. Veneers (Explained Simply)

Your Perfect Smile is 100% Guaranteed

We’re so confident in your transformation that we back it with our exclusive Perfect Smile Promise.

Roperb Dental has crafted thousands of flawless smiles for Lagos’ elite over the past five years.
Your satisfaction isn’t just guaranteed — it’s our legacy.

Why Premium Veneers Outshine Every Alternative

Vs. Teeth Whitening:

Fixes color, shape, and alignment — not just colour

Delivers a permanent, radiant white that never fades

Restores chips and wear for a youthful look

Achieves perfect balance for your facial structure

One-time investment — lasting brilliance

Vs. Composite Bonding:

15–20 years of perfection vs. 2–3 years of touch-ups

Stain-resistant, durable, and naturally translucent

Hand-Crafted Precision by Master Ceramists

Long-term confidence, not recurring repairs

The result?

A breathtaking, natural-looking smile that lasts for decades — positioning you among Nigeria’s most confident, attractive, and successful individuals.

Most Successful People Choose Premium Veneers

Join over 1,000+ professionals who have redefined their image and elevated their lives through premium veneers.

“Game Changer for My Career”

As a CEO, my veneers didn’t just change my smile — they changed how I’m perceived. I’ve closed more deals in six months than I did in two years.

Adebayo K.

Corporate Executive

“Better Than Any Investment”

I’ve made millions in real estate, but nothing gave me a better return than my veneers. The relationships, the access, the confidence — worth every naira.

Chief Emeka

Real Estate Mogul

“Red Carpet Ready”

As a media personality, I’m constantly photographed.
My veneers give me the confidence to smile genuinely in every interview. They’re flawless.

Funmi A.

Celebrity

Why Roperb Dental Creates Nigeria’s Most Perfect Smiles

When you invest in premium veneers at Roperb Dental, you experience the pinnacle of modern cosmetic dentistry:

This isn’t just dentistry.
It’s artistry, precision, and prestige — reserved for those who demand nothing less than perfection.

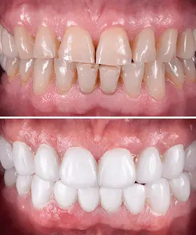
Our Results

Smile Transformations

Complete Smile Makeover – Limited Slots

For serious candidates only – 10 exclusive transformations available.

Regular Price:

₦12,000,000.00

Complete 20-Veneer Smile Makeover
Today Only:

₦8,000,000.00

Complete 20-Veneer Smile Makeover

You Save: ₦4,000,000.00 on a Complete 20-Veneer Smile Makeover

Your Exclusive Package Includes:

Why the Price Drop?

We’re opening a few exclusive spots to introduce more people to the art of smile transformation. Once these are filled, prices revert to standard.

Save up to ₦4M

Get priority scheduling

Limited availability — only a few slots remaining

EXCLUSIVE AVAILABILITY

This offer is limited to 10 qualified candidates who understand the value of perfection.
Pre-qualification required. Flexible payment plans available.

Once these 10 spots are filled, the next available appointments return to full price: ₦12,000,000.00

Frequently Asked Questions (FAQ)

What’s the difference between Veneers and Teeth Whitening?

Whitening only enhances color. Veneers redefine everything — shape, size, alignment, and symmetry.

If whitening is polishing your shoes, veneers are a bespoke, hand-crafted pair made just for you.

No. At Roperb Dental Clinic, we use a minimal-prep technique that preserves as much of your natural tooth as possible. The process is safe, non-invasive, and handled by experienced cosmetic dentists.

With proper care, veneers can last 15–20 years or more. They’re highly durable, stain-resistant, and designed to maintain their brilliance for years.

No. The procedure is gentle and pain-free with local anesthesia. Most clients describe the experience as comfortable and surprisingly easy.

Absolutely. You’ll work closely with our cosmetic dental team to design your dream smile, including color, shape, and tooth length. We also use digital smile preview technology so you can see your result before treatment begins.

From consultation to final fitting, the veneer treatment usually takes 2 to 3 visits over 1–2 weeks. We’ll provide a detailed schedule during your first appointment.

We’re running a limited time offer for select clients to experience our full smile makeover package. The market price ranges is an average of ₦12M, but we’re offering it at ₦8M to a few clients as part of our internal campaign to expand awareness.
Once the available slots are taken, the price goes back up

Your Perfect Smile Awaits - Limited Availability

This is your moment to claim the smile that matches your success, opens new doors, and elevates your confidence to match your ambition.

Every day you wait is another day of missed opportunities, weaker first impressions, and diminished presence.